53520d25-738b-4649-95f5-9723b32fa7e8

Genova, Piazziale Parenzo 7 / 5

P.Iva 01262950999

Italia

Laboratorio Odontotecnico Fabio Rainero


instagram
facebook

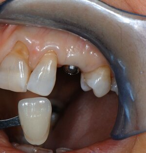
Protesi Fissa Impianti

Come ogni genere di protesi dentale quella su impianti deve avere requisiti specifici. Le accortezze  che si dedicano al lavoro di implantoprotesi sono senza dubbio moltissime ma la preservazione dell’impianto stesso è l’obbiettivo del nostro lavoro oltre che il risultato a breve termine per questo in laboratorio siamo aggiornati su ogni novita’ del mondo implantare e si cerca di consegnare al clinico un manufatto sicuro, privo di rischi per gli impianti e per il paziente, e rispecchiare le  aspettative estetiche e funzionali. .                                                                                                                                                              

Genova, Piazziale Parenzo 7 / 5

P.Iva 01262950999

Italia


instagram
facebook